
HOME > 診療案内
診療内容 |
小動物内科診療 | 外科 | 検査室 | 歯科ケア | 腫瘍科 | 画像診断 | ペットサプライ |
|---|---|---|---|---|---|---|---|
ペットホテル |
ペットホテルについてのご案内 | ||||||
グルーミング |
グルーミングについてのご案内 | ||||||
イヌ・ネコ・小鳥・エキゾチックアニマル
彼らたち、エキゾチックペットと呼ばれる動物は解剖学的にも生理学的にもイヌやネコとは全く異なります。
当院では専門知識と特殊技能を持った獣医師が診察にあたります。
繊細なペットたちのために・・・

一般外科・整形外科・軟部組織外科・眼科外科
最新の設備と最も安全な麻酔技術と手術技術を提供します
飼い主さんが最も心配なさることに麻酔があげられると思います。
各種手術・処置等において全身麻酔を使用する機会は、多いものです。
少しでもその不安を取り除いていただきたく、当病院の麻酔方法について
説明したいと思います。
動物たちが、もっとも安全に手術処置を受けられるように最新の設備とトレーニングされたスタッフが見守ります。
院内検査システムを充実させ、迅速な診断を心がけています。

2才令以上になってからの口腔内の問題に歯周病がまず挙げられるでしょう。
この疾患はとてもゆっくりと進行し、歯の支持構造に影響を与えます。
歯石(食餌のカスやバクテリア)によって、歯肉の腫れや炎症がおこります。
ペットの口臭が気になり始めたら、早期のクリーニングによって口腔内の健康を取り戻せるのです。
歯周病が進行すると歯肉は後退し、歯と顎骨を保持している靭帯と顎骨自体に破壊がおよびます。
深い歯周ポケットから膿や出血、痛みをペットにもたらします。
歯石除去後には、歯磨き等でケアをしてください。
もしも歯磨きが難しい場合には、液体マウスウォッシュもありますので、ご相談ください。
外傷や乳歯の遺残があると正常な永久歯の生え変わりが行われません。
永久歯の形成過程において、不適当な位置ずれにより、乳歯の正常な抜け変わりが、おこなわれなくなるのです。
永久歯の位置異常は口腔内の軟部組織に障害をおこし、ペットに疼痛や感染をもたらします。
その上、しばしば食餌が乳歯と永久歯の間にたまり、歯肉の炎症へと進行していきます。
14〜24週令の間、歯のチェックをこまめに行い、もしこのような状態が見られましたら早急に乳歯を抜歯し永久歯を正常な位置に矯正する必要があります。
ご相談ください。
抗ガン剤治療・外科的切除等、腫瘍も治るもしくは、付き合っていける疾患です。
より苦痛のない治療を話し合いながら進めていきましょう。
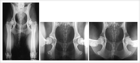
レントゲン検査・超音波検査・消化管内視鏡検査

特に中高齢の小型犬、キャバリア犬などは心臓弁膜の疾患にかかりやすい傾向にあります。
また大型犬でもドーベルマンやボクサーは心筋症にかかりやすい犬種といわれています。
猫においても心筋症はよくみられ しかも犬のような咳などの症状なしに突発死という経過をとるものも少なくありません。
人間と違い動物たちは言葉を持ちません。近頃 咳をする、お散歩の距離が短くなったなどの小さなシグナルしか発していなくても心臓に問題が生じているかもしれません。
早期発見早期コントロールが肝要です。ご相談ください。


イヌ・ネコ・その他の小動物、それぞれ独立した入院およびペットホテルエリアをご用意しています。
神経質なペットも安心して過ごすことができるでしょう。
イヌ用のランも併設しているため、排泄・気分転換を雨に濡れることなく行えます。
(当院では、逃亡等の危険を避けるため、お散歩はいたしておりません。
強いご希望のある場合は、危険等のリスクをご了解のうえお申し出ください。
朝夕二回の食事と随時のケージクリーニング
あなたのペットの大好きなオモチャや食器、食べなれたフードもどうぞお持ちください。
すこしでも自宅で、くつろいでいるような感覚で過ごせるでしょう。
| ご予約番号 | 03-3722-5822 |
|---|---|
| チェックイン チェックアウト |
月〜土曜日 9:00〜19:00 / 日祭日 10:00〜16:00 |

イヌとネコのグルーミングサービスを提供いたします。
また、皮膚病治療のためのメディカルバス・鎮静の必要なペットのグルーミングも獣医師が付き添い おこなう事ができます。
グルーミングサービスはご予約が必要となります。
日祭日はお休みです
ご予約は : 03-3722-5822
診療内容 |
小動物内科診療 | 外科 | 検査室 | 歯科ケア | 腫瘍科 | 画像診断 | ペットサプライ |
|---|---|---|---|---|---|---|---|
ペットホテル |
ペットホテルについてのご案内 | ||||||
グルーミング |
グルーミングについてのご案内 | ||||||

駐車場3台完備
We accept cash only. Credit card sorry.
![]()